La dévitalisation d’une dent est un acte qui n’est JAMAIS simple et qui doit pourtant être réalisé parfaitement si on veut espérer pouvoir oublier cette dent, pouvoir manger dessus sans avoir mal à chaque fois qu’on appui dessus, sans avoir d’infections apicale chroniques. Plus le temps passe, plus les connaissances microscopiques sur la complexité radiculaire augmente et plus on se rend compte de la complexité à réaliser une dévitalisation parfaite, c-a-d enlever chaque morceau de nerf et les remplacer par un cône de gutta percha ( genre de caoutchouc naturel ) avec le moins possible de colle entre ce cône et la surface de la racine.

Outre le fait que le nombre de racines est  variable d’une personne à l’autre pour une même dent, le nombre de canaux à l’intérieur de ces racines est lui aussi variable.De plus, les canaux peuvent aussi avoir des ramifications plus ou moins complexes … Bref comme toujours en biologie, CHAQUE PATIENT EST DIFFÉRENT et tenter de généraliser , de systématiser une thérapeutique conduit forcément à un grand nombre d’échecs ( d’où les nombreux problèmes rencontrés aujourd’hui en médecines …)

Le retraitement endodontique consiste à recommencer le traitement de dévitalisation, en commençant par déboucher les canaux préalablement obturés. On utilise pour cela de l’huile essentielle d’orange qui à la faculté de dissoudre les cônes de gutta percha. Une fois les canaux débouchés, on les alèse l’intérieur des canaux pour leur donner une forme conique, on désinfecte, on désinfecte et on re-désinfecte l’intérieur des canaux puis on rebouche avec de la gutta. Une autre grande difficulté est qu’il ne faut absolument pas dépasser la longueur de la racine; il ne faut être ni trop court (tout n’est pas traité = il reste un espace vide potentiellement colonisable par les bactéries ) ni trop long (car le cône viendrait « piquer » l’os chaque fois que la dent serait utilisée pendant la mastication = création d’une irritation => inflammation => kyste). Vous l’aurez compris le Re-traitement endodontique est donc beaucoup plus complexe que le premier traitement endodontique car la dent est obturée et qu’elle a déjà été « bricolée ». Cependant quel que soit X , malgré que l’implantologie soit LA technique la plus fiable pour remplacer une dent, RIEN ne vaut la dent du patient, c’est pourquoi il faut absolument essayer de re-traiter la dent avant de penser à l’extraire pour y mettre un implant. Voila quelques re-traitements qui ont permis à ces patients de conserver leur dent.

—————————————————————————————————————————————————————————–

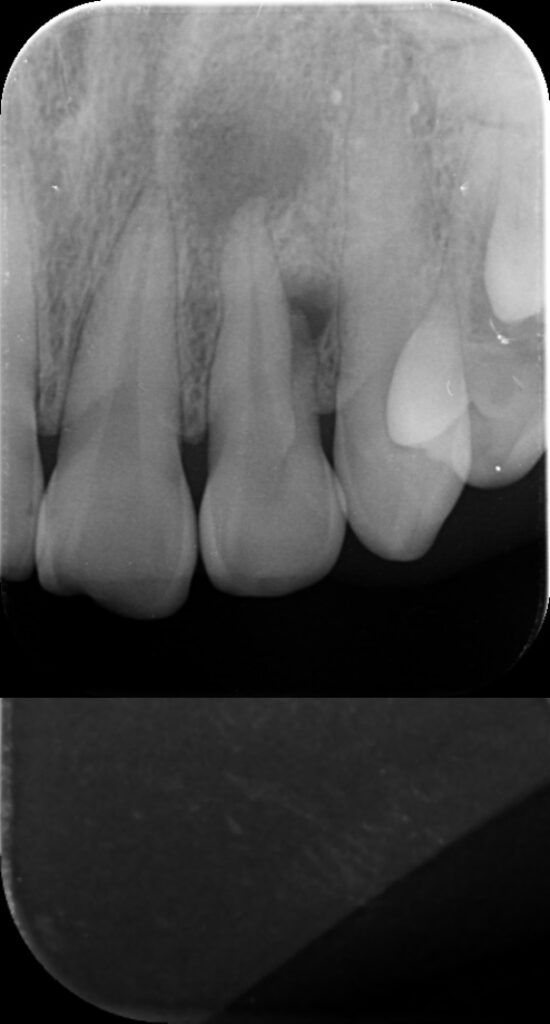
Situation initiale, dent couronnée avec un ÉNORME kyste apical

Apres démontage de la couronne, on débouche la racine…
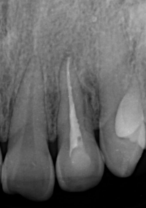
Apres nombre de désinfections, on rebouche le canal, à la bonne longueur
Mise sous provisoire de la dent, le temps d’être certain qu’on a réussi à soigner l’infection
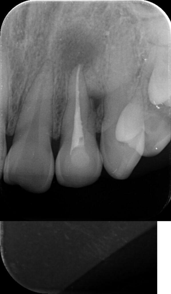
1 an plus tard, le kyste ne se voit presque plus! Une nouvelle couronne a été installée sur la racine

Cas très particulier d’un sillon palato-Gingival…

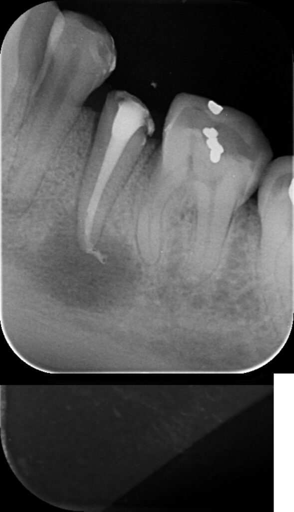
Cas très spécial = 2 lésions osseuses (rond noir)
Traitement en cours = Longueur OK
Final J0
Radio à 1 an = C’est gagné ! ( pour l’instant! )