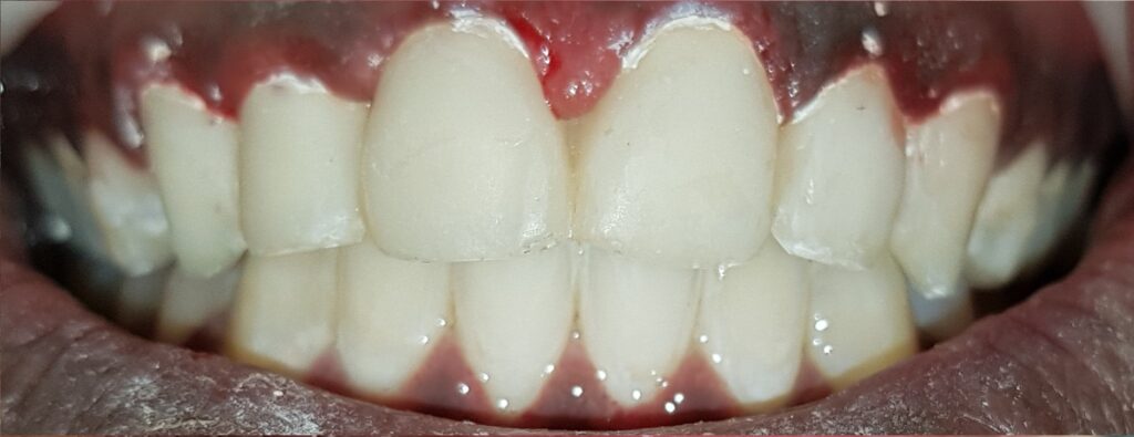
Canine à Canine Supérieur E-Max :

Vue initiale J0
Vue Latérale Droite J0

Vue initiale J0
Vue frontale

Provisoires en place
Fin de la première séance : Les Provisoires en place

E-Max
Prothèse Céramique ( E-Max ) sur le model en plâtre : On note le passage de la lumière au travers des couronnes sans l’ombre métallique présente sur les couronnes Céramo-Métalliques

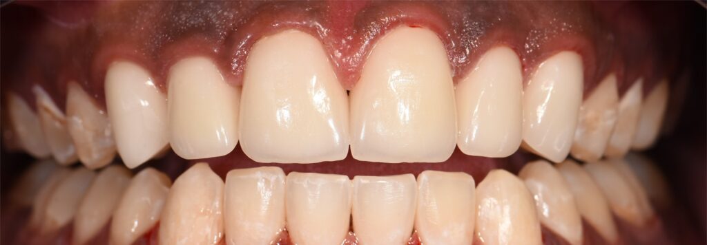
Vue Finale : 1an

