Quel que soit le motif de la consultation initiale, à l’exception d’une douleur insupportable qu’il faut soulager immédiatement, RIEN ne doit être fait sans avoir sensibilisé le patient à l’hygiène buccal, au lavage des dents, passage de fil dentaire ou brossettes si besoin, détartrage…
Tout ce qui serait fait sans un assainissement initial reviendrai à faire une machine à laver avec de l’eau sale. Une fois l’urgence réglée si besoin, il faut dans l’ordre :
- Assainir / Nettoyer = détartrage, rebouchage rapide et temporaire des grosses caries ouvertes, extraction des racines ou dents arrivées en bout de course, enseignement des techniques d’hygiène…
- Réparer = Composites, Ciments, chirurgies parodontales, gouttières, réglage de l’occlusion…
- Remplacer = Prothèse diverse en fonction du besoin ( couronnes-bridges-facettes-appareils ), implantologie,
- Entretenir / Prévenir = Au même titre que vous entretenez votre voiture, le cuire de vos sacs ou porte feuille ou tout ce qui à de la valeur et qui est utilisé quotidiennement, vos dents, dans leur ensemble, autant naturelles que prothétiques, doivent être entretenues. C’est grâce à cela que vos dents dureront beaucoup plus longtemps en bonne santé. Il s’agit des détartrage, nettoyage des prothèses ( surtout implantaires ), contrôle des caries, scellements de sillons chez les enfants, radio panoramiques …
LES DENTS NE GUÉRISSANT PAS TOUTES SEULES, LA BONNE STRATÉGIE EST LA PRÉVENTION
—————————————————————————————————————————————————————————–

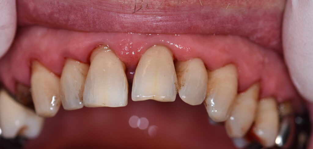
Avant – Ce cas est beaucoup moins favorable que le suivant car il s’agit de tartre très ancien en haut de chacune des dents = DÉCHAUSSEMENT EN COURS A GRANDE VITESSE

Après – Le tartre a été éliminé, la gencive va pouvoir à nouveau s’accrocher sur les racines des dents, la patient ne saigne plus des gencives et peut laver ses dents correctement.

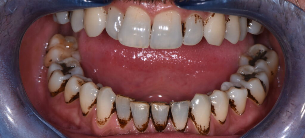
Avant – Le cas parait impressionnant à première vue mais il s’agit uniquement de colorations qui n’ont ni l’aspect bactérien – infectieux ni la gravité du cas précédent; Certain patient , malgré un excellent brossage, fumeur ou non, ont des dents qui se colorent très vite; L’inverse est aussi vrai !

Après – A la fin du nettoyage, les colorations ont disparu; C’est reparti pour un tour!
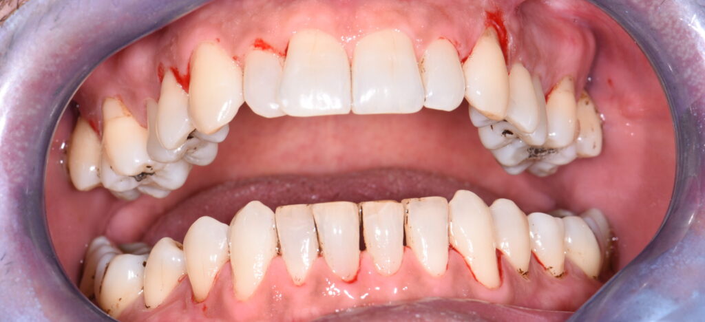
LES SUITES OPÉRATOIRES D’UN GROS DETARTRAGE OU D’UN SURFAÇAGE
Le surfaçage est le traitement de base nécessaire pour toute parodontite. Il engendre de nombreux bénéfices, parmi lesquels une diminution de l’inflammation parodontale, un tarissement des saignements, une diminution des poches parodontales (espaces entre la gencive et la dent), une réattache de la gencive à la dent, et même une guérison des gingivites et des parodontites les moins sévères.
Toutefois, il peut engendrer des effets secondaires. Ces effets sont variables d’un patient à l’autre et d’une dent à l’autre, mais ils sont en général plus marqués sur les gencives fines et sur les parodontites sévères, que sur les gencives épaisses et sur les parodontites superficielles.
Ces effets secondaires sont :
TRIANGLES NOIRS ENTRE LES DENTS : les triangles noirs entre les dents doivent être nettoyés par des brossettes, dont le diamètre sera augmenté après le surfaçage. Sachez que si rien n’est fait, ces triangles noirs artificiellement masqués par la gencive gonflée / infectée ne vont faire que grossir. Plus le traitement à lieu tôt, plus les triangles noirs seront inexistants ou petits. Plus le traitement est tardif plus les triangles noirs, qui correspondent au volume d’os perdu, « mangé » par la parodontite, vont être volumineux.

SENSIBILITÉS : les dents peuvent être plus sensibles au froid, et au chaud. Les sensibilités peuvent être diminuées par des dentifrices désensibilisants. Parfois elles ne disparaissent pas complètement, surtout dans les parodontites sévères mais dans tous les cas elles diminuent considérablement au bout de quelques semaines.
DENTS PLUS LONGUES : l’aspect de dents plus longues est difficile à corriger, il s’agit d’une séquelle de la parodontite révélée par le surfaçage. Il existe des solutions, mais qui ne sont envisageables qu’après guérison de la parodontite.
Il est capital de bien comprendre que ces trois « effets secondaires » des surfaçages et détartrages sont déjà présent avant l’intervention, ils ne vont qu’être révélés par l’assainissement gingival. L’os et la gencive qui occupaient ces volumes ont déjà été « mangés » par la parodontite. En intervenant on STOP la progression de la parodontite mais les dégâts accumulés (perte osseuse et de gencive) ne vont pas disparaître tout seuls.
