Il arrive bien souvent que la position des freins linguaux ou labiaux soient incompatible avec la conservation à long terme d’une gencive attachée de qualité autour des dents. Ces freins sont en fait des ligaments qui relient les muscles des lèvres ou de la langue avec l’os alvéolaire. La freinectomie vise à rétablir une position correcte de ces ligaments :
A – Au niveau de la lèvre inférieure :
On note ici un frein dédoublé au niveau de la lèvre inférieure;
Ce frein tire sur la gencive attachée autour des incisives chaque fois que le patient parle, rit, mange…
On voit aussi un faible déchaussement autour des 2 incisives centrales…
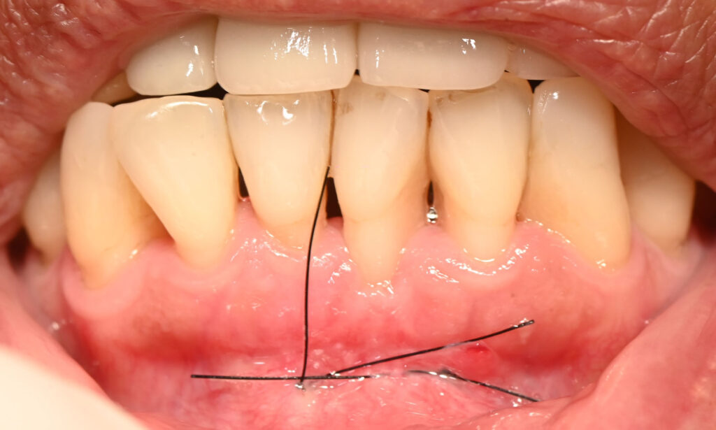
Fin de l’intervention, le frein a été attaché plus bas
cicatrisation à 10 jour, il reste à couper les fils
L’attache est maintenant plus basse, On voit que la gencive attachée autour des incisives est « remontée » en comparaison avec la photo pré-chirurgicale
B – Au niveau de la langue :
Dans ces cas, le frein lingual gêne le patient à la prononciation de certains sons en empêchant par exemple la langue de toucher le palais. Il faut comme dans le cas précédent retoucher chirurgicalement ce frein afin de « libérer » la langue.
C – Au niveau de la lèvre supérieure :
Ces cas sont exactement identiques à l’exemple de la lèvre inférieur, la seule différence est que bien souvent le frein , par sa position basse, va empêcher les deux incisives centrales de « se toucher » ce qui créer souvent un diastème souvent désigné comme « les dents du bonheur ». Lorsqu’on retouche le frein on peut espérer que l’espace inter dentaire se referme plus ou moins en fonction des cas et de l’âge du patient.




